1 - Fotos
2 - Formulário
3 - Feedback

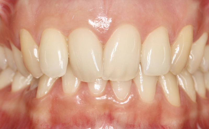
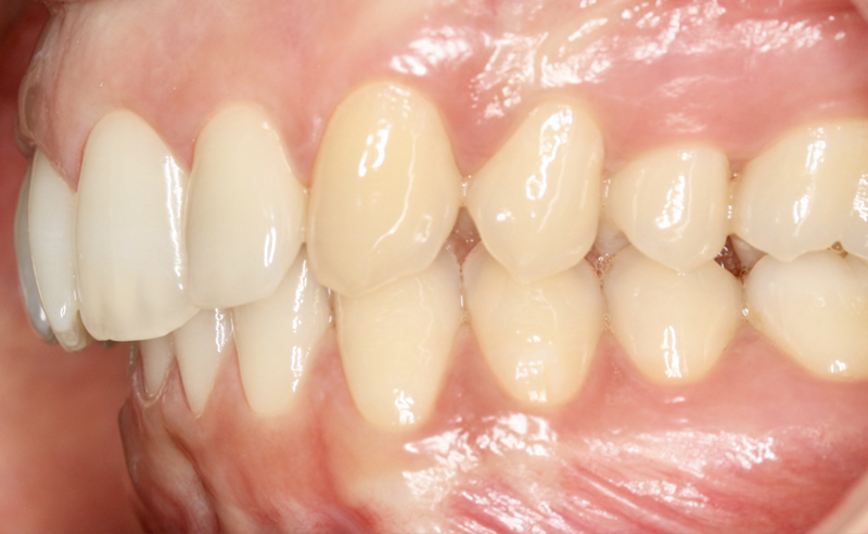
Tutorial Fotográfico

Fotografe a sua Boca de acordo com os exemplos abaixo demonstrados

Formulário

Preencha o Formulário e anexe as fotografias que captou (Campos Obrigatórios*)

Upload Fotos

Feedback

Aguarde pela informação que será enviada para o seu e-mail